03-20
上海医生仅用35分钟一针消融病灶 机器人导航精准治疗
2026-03-04
HaiPress
上海医生仅用35分钟一针消融病灶 机器人导航精准治疗!近日,上海市东方医院肿瘤科周彩存教授团队成功为一名高龄、肺功能基础差且病灶紧贴心脏的肺癌患者实施了机器人辅助下经皮穿刺消融手术。该案例不仅展示了团队在高危复杂部位肿瘤微创治疗领域的领先水平,还体现了学科在胸部肿瘤领域技术融合、团队协作与培训推广等多方面的系统化成果。数月前,科室获评“中国医师协会肿瘤消融治疗技术培训基地”,并于去年年底牵头成立东方胸部肿瘤诊疗中心,致力于打造全病程、多学科融合的诊疗高地。

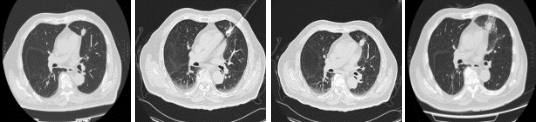
77岁的陈老伯是一位刚走下手术台不久的“抗癌老兵”。1年半前,他经历了前列腺癌根治术,本以为可以安享晚年。然而,在最近的一次术后随访PET-CT检查中,医生发现他左肺上叶那颗原本“沉睡”的结节突然代谢增高,这意味着恶性肿瘤再次找上了门。尽管陈老伯的肺部病灶尚属早期,但其位置紧邻心脏,随呼吸与心跳同步移动,传统消融因易损伤心脏及大血管,风险极高。面对这一困局,陈老伯在家属陪同下辗转求医,最终求助于周彩存教授团队。

周彩存教授团队在充分评估后认为,病灶虽不大,但位于心脏旁“生命禁区”,临近重要心脏结构和大血管、大气道,任何物理局部处理手段都有一定风险。为此,团队决定启用穿刺手术导航定位系统(简称RC120),凭借其“CT影像与智能传感一体化”技术,解决传统定位方式的痛点,为陈老伯的肺部诊疗提供了更精准、更安全、更便捷的选择。
免责声明:本文转载自其它媒体,转载目的在于传递更多信息,并不代表本网赞同其观点和对其真实性负责,亦不负任何法律责任。 本站所有资源全部收集于互联网,分享目的仅供大家学习与参考,如有版权或知识产权侵犯等,请给我们留言。



